JIhyon Kim, D.D.S.

Home
Notes
Archive
About
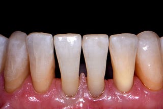
Black Triangle Rejuvenation
Eliminating open gingival embrasures
Jul 28, 2025 • JIhyon Kim, D.D.S.
© 2026 JIhyon Kim, D.D.S. · Privacy ∙ Terms ∙ Collection notice
Start your SubstackGet the app
Substack is the home for great culture