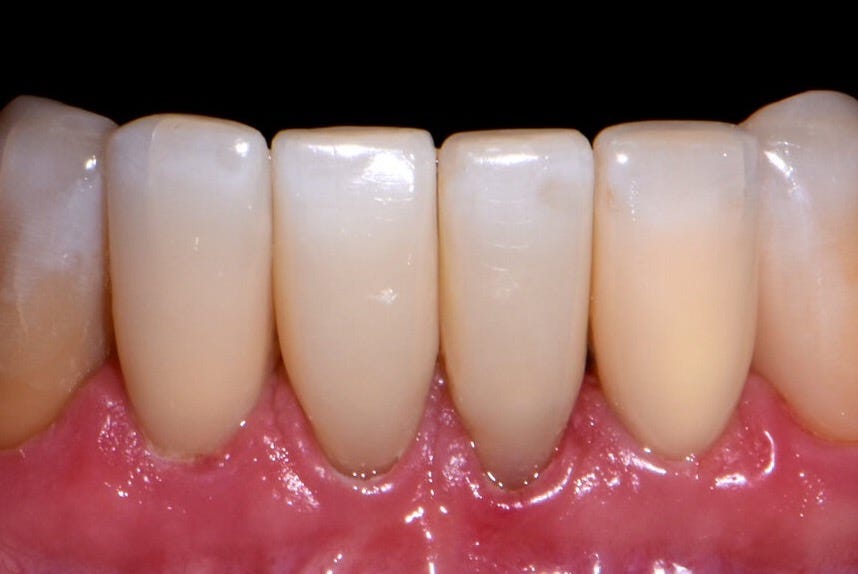
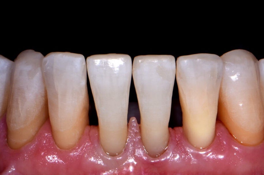
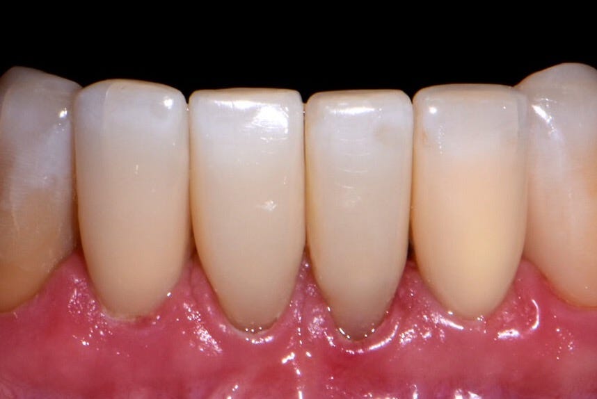
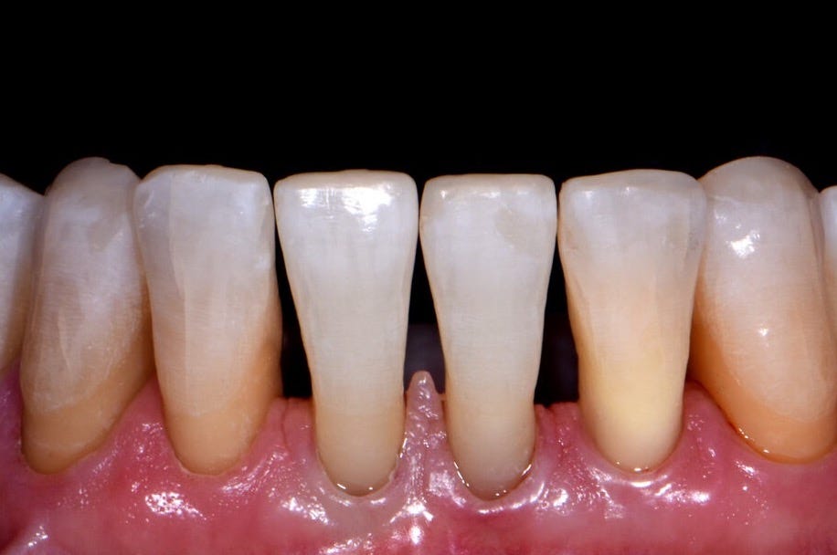
<?xml version="1.0" encoding="UTF-8"?><rss xmlns:dc="http://purl.org/dc/elements/1.1/" xmlns:content="http://purl.org/rss/1.0/modules/content/" xmlns:atom="http://www.w3.org/2005/Atom" version="2.0" xmlns:itunes="http://www.itunes.com/dtds/podcast-1.0.dtd" xmlns:googleplay="http://www.google.com/schemas/play-podcasts/1.0"><channel><title><![CDATA[JIhyon Kim, D.D.S.]]></title><description><![CDATA[Conservative dentistry for the modern soul.]]></description><link>https://www.discingqueen.com</link><image><url>https://www.discingqueen.com/img/substack.png</url><title>JIhyon Kim, D.D.S.</title><link>https://www.discingqueen.com</link></image><generator>Substack</generator><lastBuildDate>Sun, 31 May 2026 07:13:05 GMT</lastBuildDate><atom:link href="https://www.discingqueen.com/feed" rel="self" type="application/rss+xml"/><copyright><![CDATA[JIhyon Kim, D.D.S.]]></copyright><language><![CDATA[en]]></language><webMaster><![CDATA[discingqueen@substack.com]]></webMaster><itunes:owner><itunes:email><![CDATA[discingqueen@substack.com]]></itunes:email><itunes:name><![CDATA[JIhyon Kim, D.D.S.]]></itunes:name></itunes:owner><itunes:author><![CDATA[JIhyon Kim, D.D.S.]]></itunes:author><googleplay:owner><![CDATA[discingqueen@substack.com]]></googleplay:owner><googleplay:email><![CDATA[discingqueen@substack.com]]></googleplay:email><googleplay:author><![CDATA[JIhyon Kim, D.D.S.]]></googleplay:author><itunes:block><![CDATA[Yes]]></itunes:block><item><title><![CDATA[Black Triangle Rejuvenation]]></title><description><![CDATA[Eliminating open gingival embrasures]]></description><link>https://www.discingqueen.com/p/black-triangle-rejuvenation</link><guid isPermaLink="false">https://www.discingqueen.com/p/black-triangle-rejuvenation</guid><dc:creator><![CDATA[JIhyon Kim, D.D.S.]]></dc:creator><pubDate>Mon, 28 Jul 2025 19:59:39 GMT</pubDate><enclosure url="https://substackcdn.com/image/fetch/$s_!CaB9!,f_auto,q_auto:good,fl_progressive:steep/https%3A%2F%2Fsubstack-post-media.s3.amazonaws.com%2Fpublic%2Fimages%2F634a6369-0a47-4d20-b028-7d13e0398310_916x608.jpeg" length="0" type="image/jpeg"/><content:encoded><![CDATA[<p>One of the most common, yet poorly addressed, dental concerns is open gingival embrasures often referred to as &#8220;black triangles&#8221;. It may be a surprise to know that this condition exists to varying degrees in most adults. For many patients, black triangles present not only an obvious aesthetic issue but also a functional issue from food impaction and tartar build up.</p><div class="captioned-image-container"><figure><a class="image-link image2 is-viewable-img" target="_blank" href="https://substackcdn.com/image/fetch/$s_!CaB9!,f_auto,q_auto:good,fl_progressive:steep/https%3A%2F%2Fsubstack-post-media.s3.amazonaws.com%2Fpublic%2Fimages%2F634a6369-0a47-4d20-b028-7d13e0398310_916x608.jpeg" data-component-name="Image2ToDOM"><div class="image2-inset"><picture><source type="image/webp" srcset="https://substackcdn.com/image/fetch/$s_!CaB9!,w_424,c_limit,f_webp,q_auto:good,fl_progressive:steep/https%3A%2F%2Fsubstack-post-media.s3.amazonaws.com%2Fpublic%2Fimages%2F634a6369-0a47-4d20-b028-7d13e0398310_916x608.jpeg 424w, https://substackcdn.com/image/fetch/$s_!CaB9!,w_848,c_limit,f_webp,q_auto:good,fl_progressive:steep/https%3A%2F%2Fsubstack-post-media.s3.amazonaws.com%2Fpublic%2Fimages%2F634a6369-0a47-4d20-b028-7d13e0398310_916x608.jpeg 848w, https://substackcdn.com/image/fetch/$s_!CaB9!,w_1272,c_limit,f_webp,q_auto:good,fl_progressive:steep/https%3A%2F%2Fsubstack-post-media.s3.amazonaws.com%2Fpublic%2Fimages%2F634a6369-0a47-4d20-b028-7d13e0398310_916x608.jpeg 1272w, https://substackcdn.com/image/fetch/$s_!CaB9!,w_1456,c_limit,f_webp,q_auto:good,fl_progressive:steep/https%3A%2F%2Fsubstack-post-media.s3.amazonaws.com%2Fpublic%2Fimages%2F634a6369-0a47-4d20-b028-7d13e0398310_916x608.jpeg 1456w" sizes="100vw"><img src="https://substackcdn.com/image/fetch/$s_!CaB9!,w_1456,c_limit,f_auto,q_auto:good,fl_progressive:steep/https%3A%2F%2Fsubstack-post-media.s3.amazonaws.com%2Fpublic%2Fimages%2F634a6369-0a47-4d20-b028-7d13e0398310_916x608.jpeg" width="916" height="608" data-attrs="{&quot;src&quot;:&quot;https://substack-post-media.s3.amazonaws.com/public/images/634a6369-0a47-4d20-b028-7d13e0398310_916x608.jpeg&quot;,&quot;srcNoWatermark&quot;:null,&quot;fullscreen&quot;:null,&quot;imageSize&quot;:null,&quot;height&quot;:608,&quot;width&quot;:916,&quot;resizeWidth&quot;:null,&quot;bytes&quot;:77712,&quot;alt&quot;:null,&quot;title&quot;:null,&quot;type&quot;:&quot;image/jpeg&quot;,&quot;href&quot;:null,&quot;belowTheFold&quot;:false,&quot;topImage&quot;:true,&quot;internalRedirect&quot;:&quot;https://discingqueen.substack.com/i/169491437?img=https%3A%2F%2Fsubstack-post-media.s3.amazonaws.com%2Fpublic%2Fimages%2Fe46c3002-f614-4cdc-bf35-3ad74f2fa097_1000x667.heic&quot;,&quot;isProcessing&quot;:false,&quot;align&quot;:null,&quot;offset&quot;:false}" class="sizing-normal" alt="" srcset="https://substackcdn.com/image/fetch/$s_!CaB9!,w_424,c_limit,f_auto,q_auto:good,fl_progressive:steep/https%3A%2F%2Fsubstack-post-media.s3.amazonaws.com%2Fpublic%2Fimages%2F634a6369-0a47-4d20-b028-7d13e0398310_916x608.jpeg 424w, https://substackcdn.com/image/fetch/$s_!CaB9!,w_848,c_limit,f_auto,q_auto:good,fl_progressive:steep/https%3A%2F%2Fsubstack-post-media.s3.amazonaws.com%2Fpublic%2Fimages%2F634a6369-0a47-4d20-b028-7d13e0398310_916x608.jpeg 848w, https://substackcdn.com/image/fetch/$s_!CaB9!,w_1272,c_limit,f_auto,q_auto:good,fl_progressive:steep/https%3A%2F%2Fsubstack-post-media.s3.amazonaws.com%2Fpublic%2Fimages%2F634a6369-0a47-4d20-b028-7d13e0398310_916x608.jpeg 1272w, https://substackcdn.com/image/fetch/$s_!CaB9!,w_1456,c_limit,f_auto,q_auto:good,fl_progressive:steep/https%3A%2F%2Fsubstack-post-media.s3.amazonaws.com%2Fpublic%2Fimages%2F634a6369-0a47-4d20-b028-7d13e0398310_916x608.jpeg 1456w" sizes="100vw" fetchpriority="high"></picture><div class="image-link-expand"><div class="pencraft pc-display-flex pc-gap-8 pc-reset"><button tabindex="0" type="button" class="pencraft pc-reset pencraft icon-container restack-image"><svg role="img" width="20" height="20" viewBox="0 0 20 20" fill="none" stroke-width="1.5" stroke="var(--color-fg-primary)" stroke-linecap="round" stroke-linejoin="round" xmlns="http://www.w3.org/2000/svg"><g><title></title><path d="M2.53001 7.81595C3.49179 4.73911 6.43281 2.5 9.91173 2.5C13.1684 2.5 15.9537 4.46214 17.0852 7.23684L17.6179 8.67647M17.6179 8.67647L18.5002 4.26471M17.6179 8.67647L13.6473 6.91176M17.4995 12.1841C16.5378 15.2609 13.5967 17.5 10.1178 17.5C6.86118 17.5 4.07589 15.5379 2.94432 12.7632L2.41165 11.3235M2.41165 11.3235L1.5293 15.7353M2.41165 11.3235L6.38224 13.0882"></path></g></svg></button><button tabindex="0" type="button" class="pencraft pc-reset pencraft icon-container view-image"><svg xmlns="http://www.w3.org/2000/svg" width="20" height="20" viewBox="0 0 24 24" fill="none" stroke="currentColor" stroke-width="2" stroke-linecap="round" stroke-linejoin="round" class="lucide lucide-maximize2 lucide-maximize-2"><polyline points="15 3 21 3 21 9"></polyline><polyline points="9 21 3 21 3 15"></polyline><line x1="21" x2="14" y1="3" y2="10"></line><line x1="3" x2="10" y1="21" y2="14"></line></svg></button></div></div></div></a><figcaption class="image-caption">Open gingival embrasures (AKA &#8220;Black Triangles&#8221;) on lower anterior teeth.</figcaption></figure></div><p>Conventional treatments with ceramic crowns or veneers necessitate some removal of healthy tooth structure to close the gaps. An additive solution with direct composite veneers is ultimately more conservative. With this treatment modality, composite resin is flowed around the tooth and protective volume is added. When performed well, the result is elimination of the dark space and often visual alignment of teeth. Smooth contours promoting improved hygiene and healthy tissue responses is our functional goal.</p><div class="captioned-image-container"><figure><a class="image-link image2 is-viewable-img" target="_blank" href="https://substackcdn.com/image/fetch/$s_!E-la!,f_auto,q_auto:good,fl_progressive:steep/https%3A%2F%2Fsubstack-post-media.s3.amazonaws.com%2Fpublic%2Fimages%2F801492ff-3e4b-4906-bae4-80f189657b05_858x574.jpeg" data-component-name="Image2ToDOM"><div class="image2-inset"><picture><source type="image/webp" srcset="https://substackcdn.com/image/fetch/$s_!E-la!,w_424,c_limit,f_webp,q_auto:good,fl_progressive:steep/https%3A%2F%2Fsubstack-post-media.s3.amazonaws.com%2Fpublic%2Fimages%2F801492ff-3e4b-4906-bae4-80f189657b05_858x574.jpeg 424w, https://substackcdn.com/image/fetch/$s_!E-la!,w_848,c_limit,f_webp,q_auto:good,fl_progressive:steep/https%3A%2F%2Fsubstack-post-media.s3.amazonaws.com%2Fpublic%2Fimages%2F801492ff-3e4b-4906-bae4-80f189657b05_858x574.jpeg 848w, https://substackcdn.com/image/fetch/$s_!E-la!,w_1272,c_limit,f_webp,q_auto:good,fl_progressive:steep/https%3A%2F%2Fsubstack-post-media.s3.amazonaws.com%2Fpublic%2Fimages%2F801492ff-3e4b-4906-bae4-80f189657b05_858x574.jpeg 1272w, https://substackcdn.com/image/fetch/$s_!E-la!,w_1456,c_limit,f_webp,q_auto:good,fl_progressive:steep/https%3A%2F%2Fsubstack-post-media.s3.amazonaws.com%2Fpublic%2Fimages%2F801492ff-3e4b-4906-bae4-80f189657b05_858x574.jpeg 1456w" sizes="100vw"><img src="https://substackcdn.com/image/fetch/$s_!E-la!,w_1456,c_limit,f_auto,q_auto:good,fl_progressive:steep/https%3A%2F%2Fsubstack-post-media.s3.amazonaws.com%2Fpublic%2Fimages%2F801492ff-3e4b-4906-bae4-80f189657b05_858x574.jpeg" width="858" height="574" data-attrs="{&quot;src&quot;:&quot;https://substack-post-media.s3.amazonaws.com/public/images/801492ff-3e4b-4906-bae4-80f189657b05_858x574.jpeg&quot;,&quot;srcNoWatermark&quot;:null,&quot;fullscreen&quot;:null,&quot;imageSize&quot;:null,&quot;height&quot;:574,&quot;width&quot;:858,&quot;resizeWidth&quot;:null,&quot;bytes&quot;:64730,&quot;alt&quot;:null,&quot;title&quot;:null,&quot;type&quot;:&quot;image/jpeg&quot;,&quot;href&quot;:null,&quot;belowTheFold&quot;:false,&quot;topImage&quot;:false,&quot;internalRedirect&quot;:&quot;https://discingqueen.substack.com/i/169491437?img=https%3A%2F%2Fsubstack-post-media.s3.amazonaws.com%2Fpublic%2Fimages%2Fd316a0f0-c9e9-416b-9979-8de4bce00f82_1000x667.heic&quot;,&quot;isProcessing&quot;:false,&quot;align&quot;:null,&quot;offset&quot;:false}" class="sizing-normal" alt="" srcset="https://substackcdn.com/image/fetch/$s_!E-la!,w_424,c_limit,f_auto,q_auto:good,fl_progressive:steep/https%3A%2F%2Fsubstack-post-media.s3.amazonaws.com%2Fpublic%2Fimages%2F801492ff-3e4b-4906-bae4-80f189657b05_858x574.jpeg 424w, https://substackcdn.com/image/fetch/$s_!E-la!,w_848,c_limit,f_auto,q_auto:good,fl_progressive:steep/https%3A%2F%2Fsubstack-post-media.s3.amazonaws.com%2Fpublic%2Fimages%2F801492ff-3e4b-4906-bae4-80f189657b05_858x574.jpeg 848w, https://substackcdn.com/image/fetch/$s_!E-la!,w_1272,c_limit,f_auto,q_auto:good,fl_progressive:steep/https%3A%2F%2Fsubstack-post-media.s3.amazonaws.com%2Fpublic%2Fimages%2F801492ff-3e4b-4906-bae4-80f189657b05_858x574.jpeg 1272w, https://substackcdn.com/image/fetch/$s_!E-la!,w_1456,c_limit,f_auto,q_auto:good,fl_progressive:steep/https%3A%2F%2Fsubstack-post-media.s3.amazonaws.com%2Fpublic%2Fimages%2F801492ff-3e4b-4906-bae4-80f189657b05_858x574.jpeg 1456w" sizes="100vw"></picture><div class="image-link-expand"><div class="pencraft pc-display-flex pc-gap-8 pc-reset"><button tabindex="0" type="button" class="pencraft pc-reset pencraft icon-container restack-image"><svg role="img" width="20" height="20" viewBox="0 0 20 20" fill="none" stroke-width="1.5" stroke="var(--color-fg-primary)" stroke-linecap="round" stroke-linejoin="round" xmlns="http://www.w3.org/2000/svg"><g><title></title><path d="M2.53001 7.81595C3.49179 4.73911 6.43281 2.5 9.91173 2.5C13.1684 2.5 15.9537 4.46214 17.0852 7.23684L17.6179 8.67647M17.6179 8.67647L18.5002 4.26471M17.6179 8.67647L13.6473 6.91176M17.4995 12.1841C16.5378 15.2609 13.5967 17.5 10.1178 17.5C6.86118 17.5 4.07589 15.5379 2.94432 12.7632L2.41165 11.3235M2.41165 11.3235L1.5293 15.7353M2.41165 11.3235L6.38224 13.0882"></path></g></svg></button><button tabindex="0" type="button" class="pencraft pc-reset pencraft icon-container view-image"><svg xmlns="http://www.w3.org/2000/svg" width="20" height="20" viewBox="0 0 24 24" fill="none" stroke="currentColor" stroke-width="2" stroke-linecap="round" stroke-linejoin="round" class="lucide lucide-maximize2 lucide-maximize-2"><polyline points="15 3 21 3 21 9"></polyline><polyline points="9 21 3 21 3 15"></polyline><line x1="21" x2="14" y1="3" y2="10"></line><line x1="3" x2="10" y1="21" y2="14"></line></svg></button></div></div></div></a><figcaption class="image-caption">Open gingival embrasures (AKA &#8220;Black Triangles&#8221;) seamlessly treated by Dr. Jihyon Kim with injection overmolded composite.</figcaption></figure></div><p>While visual elimination of the gap is relatively easy, healthy closure is the greater challenge. Patients seeking treatment have presented with gum inflammation from tartar build up, rough fillings, strangling over closure of spaces, or root wear and sensitivity from years of root scaling. Orthodontic correction of crowding can offer many benefits. However, adults should be aware that black triangles may occur or become more noticeable during alignment. In some cases, mild crowding and black triangles may be treated simultaneously without orthodontic treatment.</p><p></p><div class="subscription-widget-wrap-editor" data-attrs="{&quot;url&quot;:&quot;https://www.discingqueen.com/subscribe?&quot;,&quot;text&quot;:&quot;Subscribe&quot;,&quot;language&quot;:&quot;en&quot;}" data-component-name="SubscribeWidgetToDOM"><div class="subscription-widget show-subscribe"><div class="preamble"><p class="cta-caption">This Substack is reader-supported. To receive new posts and support my work, consider becoming a free or paid subscriber.</p></div><form class="subscription-widget-subscribe"><input type="email" class="email-input" name="email" placeholder="Type your email&#8230;" tabindex="-1"><input type="submit" class="button primary" value="Subscribe"><div class="fake-input-wrapper"><div class="fake-input"></div><div class="fake-button"></div></div></form></div></div>]]></content:encoded></item></channel></rss>